See what Invisalign® treatment can do.
Choose any type of case below and slide between ‘Before’ and ‘After.’
Class II
Class III
Anterior Crossbite
Spacing
Open Bite
Crowding
Deep Bite
Extraction
Mandibular Advancement
Midline Discrepancy
Narrow Arches
Phase I Treatment
Posterior Crossbite
Pre Surgical Treatment
Restorative
Class II
Class III
Anterior Crossbite
Spacing
Open Bite
Crowding
Deep Bite
Extraction
Mandibular Advancement
Midline Discrepancy
Narrow Arches
Phase I Treatment
Posterior Crossbite
Pre Surgical Treatment
Restorative
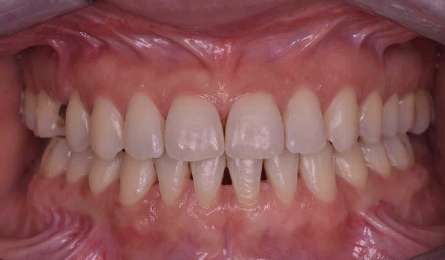
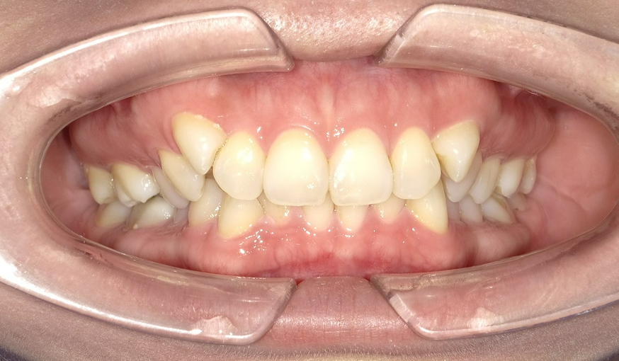
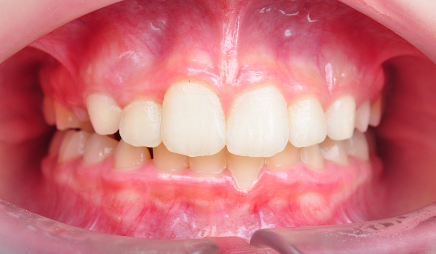
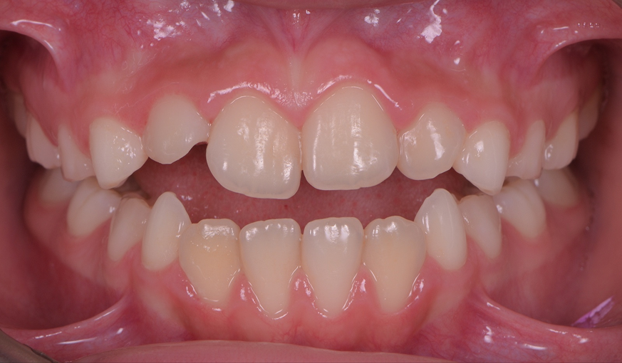
Class II




Class II — or "overbite" — is the condition in which the mesiobuccal cusp of the upper first molar is positioned mesially to the mesiobuccal groove of the lower first molar instead of both being aligned, affecting the occlusal relationship between both dental arches.
Patient Information:
Age: 24
Gender: Female
Invisalign Treatment Option: Invisalign Comprehensive
Total Treatment Time:
21 Months
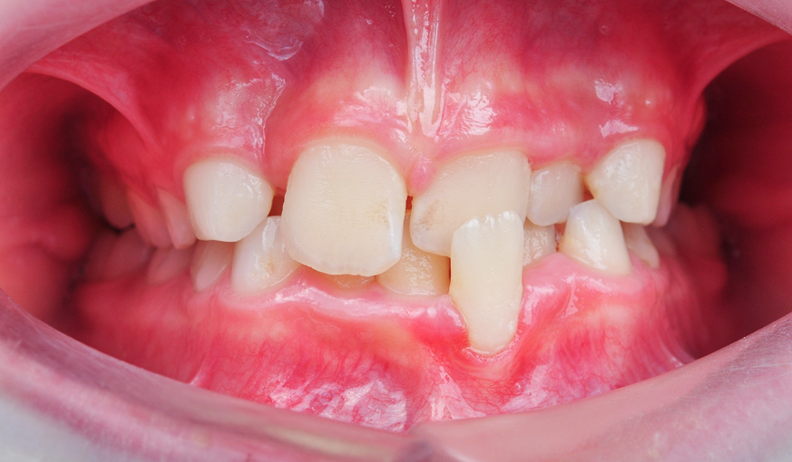
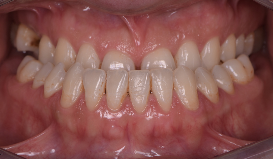
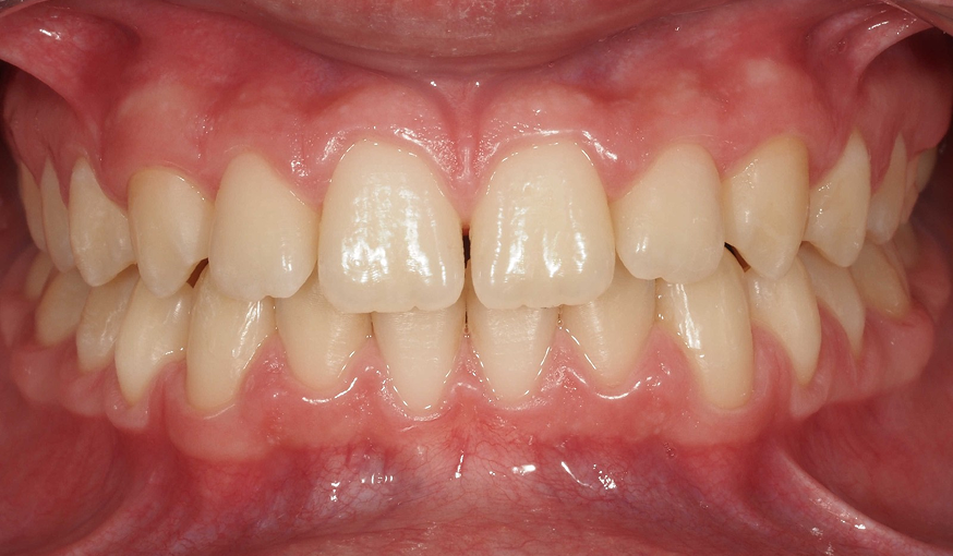
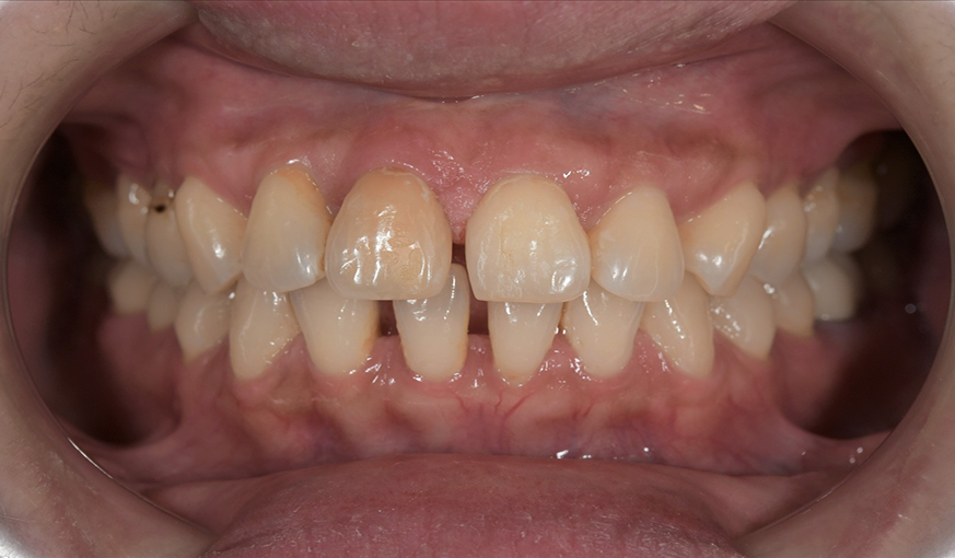
Class III




Class III — or “underbite” — is the condition in which the mesiobuccal cusp of the upper first molar is positioned distally to the mesiobuccal groove of the lower first molar instead of both being aligned, affecting the occlusal relationship between both dental arches.
Patient Information:
Age: 27
Gender: Female
Invisalign Treatment Option: Invisalign Comprehensive
Total Treatment Time:
28 months
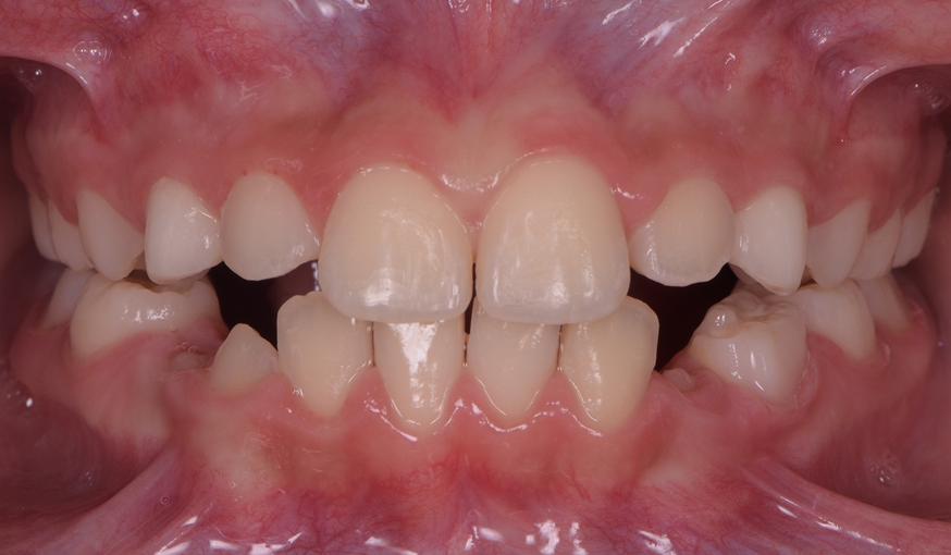
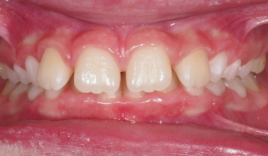
Anterior Crossbite




Anterior crossbite is the abnormal labiolingual relationship between one or more upper and lower anterior teeth, resulting in the upper teeth being positioned lingual to the lower teeth.
Patient Information:
Age: na
Gender: Female
Invisalign Treatment Option: Invisalign First
Total Treatment Time:
11 months
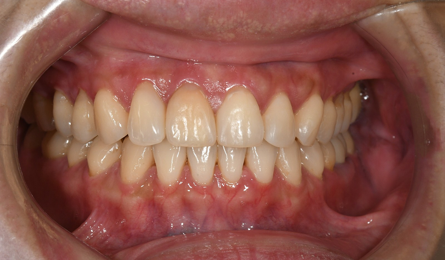
Spacing




Spacing — or “gap teeth” — is the condition in which there is excessive space between adjacent teeth in the dental arch.
Patient Information:
Age: None
Gender: Female
Invisalign Treatment Option: Invisalign First
Total Treatment Time:
10 months
Open Bite




Open bite is the condition in which there is no vertical overlap of anterior teeth in centric occlusion. It can be limited to the anterior teeth or include some posterior teeth as well.
Patient Information:
Age: None
Gender: Female
Invisalign Treatment Option: Invisalign First
Total Treatment Time:
13 months
Crowding




Crowding is the condition in which there is a discrepancy between tooth size and space available for the teeth to be aligned in the dental arch
Patient Information:
Age: 17
Gender: female
Invisalign Treatment Option: Invisalign Comprehensive
Total Treatment Time:
29 months
Deep Bite




Deep bite is the condition in which the vertical overlap of anterior teeth in centric occlusion is larger than 30 – 40%.
Patient Information:
Age: 13
Gender: Male
Invisalign Treatment Option: Invisalign Comprehensive
Total Treatment Time:
24 months
Extraction




Extraction is the removal of one or more teeth when a large amount of space needs to be created to align and create a correct occlusal relationship between the remaining teeth.
Patient Information:
Age: 16
Gender: Female
Invisalign Treatment Option: Invisalign Comprehensive
Total Treatment Time:
16 months
Mandibular Advancement




Invisalign® treatment with mandibular advancement is aimed for growing patients presenting with retrognathic Class II malocclusions in permanent dentition or stable late mixed dentition. The special feature of precision wings are integrated into the Invisalign aligners.
Patient Information:
Age: None
Gender: Female
Invisalign Treatment Option: Invisalign Comprehensive
Total Treatment Time:
30 months
Midline Discrepancy




Midline discrepancy is the condition in which there is a misalignment of the midsagittal line of maxillary and mandibular arches respectively and/or relative to the facial midline.
Patient Information:
Age: 28
Gender: Female
Invisalign Treatment Option: Invisalign Comprehensive
Total Treatment Time:
16 months
Narrow Arches




Narrow arches is the condition in which the transverse width of the maxillary and/or mandibular arches is too narrow for the teeth to properly align and have good occlusal contact.
Patient Information:
Age: None
Gender: Female
Invisalign Treatment Option: Invisalign Comprehensive
Total Treatment Time:
30 months
Phase I Treatment




Interceptive treatment for young patients (6-10 years old): Early treatment can be in a patient’s best interests if their problem is one that could become more serious over time if left untreated. - Intercept the developing problem; Eliminate the cause; Guide the growth of facial and jaw bones; Provide adequate space for incoming permanent teeth.
Patient Information:
Age: None
Gender: Male
Invisalign Treatment Option: Invisalign First
Total Treatment Time:
5 months
Posterior Crossbite




Posterior crossbite is the abnormal labiolingual relationship between one or more upper and lower posterior teeth, resulting in the upper teeth being positioned lingual to the lower teeth, or the upper teeth being positioned so buccal to the lower teeth their lingual face slides against the lowers buccal face.
Patient Information:
Age: 24
Gender: Female
Invisalign Treatment Option: Invisalign Comprehensive
Total Treatment Time:
29 months
Pre Surgical Treatment




The Invisalign system can also be used in conjunction with traditional approaches, immediately before or after surgery. ClinCheck treatment plan will show either a dental decompensation before arch coordination or complete alignment based on the chosen modality.
Patient Information:
Age: None
Gender: Female
Invisalign Treatment Option: Invisalign Comprehensive
Total Treatment Time:
13 months
Restorative




Facially driven Ortho-Restorative treatment planning platform which provides a single ortho-restorative ecosystem within ClinCheck® software, combining visual treatment planning of orthodontics and restorations.
Patient Information:
Age: None
Gender: Male
Invisalign Treatment Option: Invisalign Comprehensive
Total Treatment Time:
Not provided








